Transformamos vidas a través de sonrisas excepcionales.
Combinamos décadas de experiencia con tecnología y una filosofía de respeto por tu biología natural.
Tu sonrisa perfecta te está esperando.
+25
Años de Experiencia
+5.000
Pacientes Satisfechos
+15
Servicios Especializados
Cada palabra que describe nuestro trabajo refleja nuestro compromiso con la excelencia.
Tu sonrisa merece lo mejor de nosotros
Cada tratamiento está hecho con dedicación y cariño genuino por tu bienestar.
Utilizamos las mejores técnicas y materiales para resultados excepcionales.
Tecnología de vanguardia al servicio de tu sonrisa perfecta.

Odontología Biomimética: La Naturaleza como Guía
Creemos que la mejor odontología imita a la naturaleza. Nuestra práctica se basa en restaurar tus dientes respetando al máximo su estructura original, con tratamientos mínimamente invasivos que son tan duraderos y funcionales como bellos.
Especialidades que Transforman Vidas
Cada tratamiento está diseñado con precisión y cuidado humano, utilizando las técnicas más avanzadas.

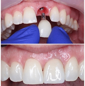
Recupera tu sonrisa y la confianza de morder, hablar y sonreír sin preocupaciones. Nuestros implantes de alta calidad ofrecen máxima durabilidad, estética natural y la seguridad de contar con garantía certificada. Una solución definitiva para reemplazar dientes perdidos y mejorar tu calidad de vida.

Restauraciones integrales que devuelven función, estética y confianza, respetando completamente tu biología natural.

Creamos la sonrisa de tus sueños con tecnología 3D y tratamientos personalizados que resaltan tu belleza única.
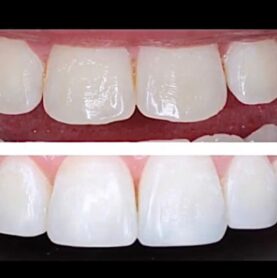
Galería de Tratamientos
Cada sonrisa cuenta una historia única. Descubre las increíbles transformaciones que hemos logrado con nuestros pacientes a través de documentación fotográfica profesional que captura cada detalle.

Más de 25 Años de Experiencia a tu servicio
Con más de 25 años de práctica clínica, he trabajado en diversos casos complejos que requieren un enfoque multidisciplinario. Mi experiencia me ha permitido desarrollar habilidades y técnicas que me permiten ofrecer tratamientos personalizados de alta calidad a mis pacientes.
Durante 8 años fui docente clínica de odontología en el Colegio Odontológico Colombiano (UNICOC), donde tuve la oportunidad de compartir mis conocimientos y mi experiencia con estudiantes de odontología. Esta experiencia me permitió desarrollar habilidades docentes y contribuir al crecimiento profesional de mis estudiantes.
Instalaciones y Tecnología de Vanguardia
Contamos con equipos de última generación y un consultorio diseñado para tu comodidad y seguridad

Tecnología de escaneo digital que elimina las molestias de las impresiones tradicionales. Obtenemos modelos 3D precisos de tu boca en minutos, permitiendo diagnósticos más exactos y tratamientos personalizados.

Trabajamos con lupas de magnificación de alta potencia que nos permiten ver detalles microscópicos. Esto garantiza tratamientos más precisos, conservadores y resultados más predecibles en el tiempo.

En cada detalle está el corazón de nuestro equipo: un grupo humano lleno de amabilidad y cariño.

Equipamiento de última generación para tratamientos avanzados

Protocolos de bioseguridad de nivel hospitalario
Historias Reales de Transformación
Tu Nueva Sonrisa Comienza Hoy Mismo
Agenda tu valoración premium y descubre cómo podemos transformar tu sonrisa.
Ubicados en el corazón de Cañaveral, Floridablanca.
Reserva tu Valoración Primium
Cañaveral, Floridablanca
Santander, Colombia
+57 (301) 213 0624
Lunes - Jueves: 8:00 AM - 12:00 PM, 2:00 PM - 6:00 PM
Viernes - Sábados: 8:00 AM - 2:00 PM
Domingos: Solo Emergencias
Dirección: Carrera 30, Cañaveral #24-38 oficina 505, Floridablanca, Santander